Cure dentali d’eccellenza per tutta la famiglia

Lo studio Fazio nasce dalla passione che il dott. Gioacchino Fazio e i suoi figli Marco e Massimo provano per la cura della persona, ancor prima che della sua salute orale. L’ambizione continua lo porta ad innovarsi verso gli standard più alti senza perdere l’indispensabile cura del singolo dettaglio e del paziente in generale.

I nostri servizi

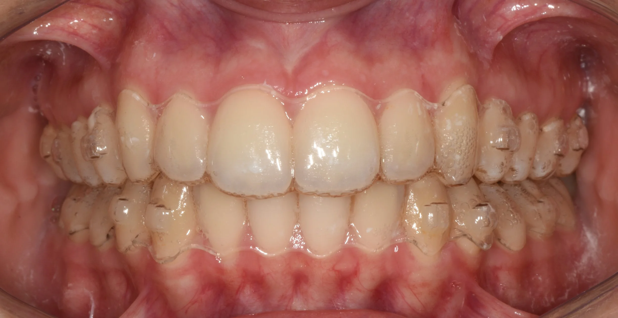
Tipi di apparecchio

  • Dott. Massimo Fazio


    Odontoiatra specialista in ortognatodonzia presso la scuola di Ferrara

    Il dott. Massimo Fazio si laurea con lode a Palermo nel 2019. Avvertendo una particolare passione per il mondo dell’ortodonzia, si avvia verso un percorso di formazione d’eccellenza conseguendo prima un Master di II livello presso l’università di Palermo in “Ortognatodonzia e Odontoiatria dello Sport”, per poi subito iniziare il percorso di specializzazione presso l’università di Ferrara.

  • Dott. Gioacchino Fazio


    Studi scientifici e laurea con lode in Odontoiatria e Protesi Dentaria alla Facoltà di medicina e chirurgia dell'università di Palermo nel 1984. Nel 1985 ha seguito il master semestrale di Parodontologia con il Dr. Roberto Pontoriero. Nel 1991 ha seguito i tre livelli del master di ortodonzia in tecnica Tweed presso EPGET di Vigevano. Dal 1992 si è occupato per oltre 20 anni di implantologia , dedicandosi in particolare alla metodica MacSystem, e nel 2000 il suo studio è stato il secondo in Italia per numero di impianti posizionati con questa metodica. Nel 2007 è stato

  • Dott. Marco Fazio


    Il Dr. Marco Fazio si laurea in Odontoiatria e Protesi Dentaria presso l’Università di Palermo nel 2012.

    Inizia la libera professione in studio privato dedicandosi alla conservativa e all’endodonzia, avvicinandosi molto presto alla chirurgia implantare.

    Nel 2014 vince una borsa di studio a Londra con il progetto Leonardo e frequenta lo studio Ghauri Dental Center a tempo pieno per due mesi.

Nel nostro studio dentistico, ci impegniamo a fornire cure eccezionali, con particolare attenzione alla precisione, alla tecnologia e al comfort del paziente. Il nostro team di esperti si impegna a superare le vostre aspettative offrendo trattamenti personalizzati, pensati per le vostre esigenze di salute orale.

Informazioni sulla nostra azienda

Prenota un appuntamento