Di qualunque cosa si tratti, il modo in cui racconti la tua storia online può fare la differenza.
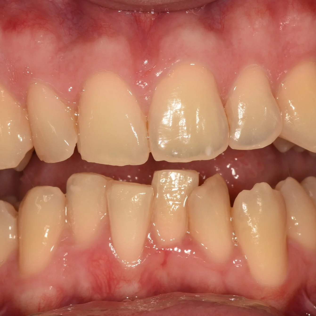
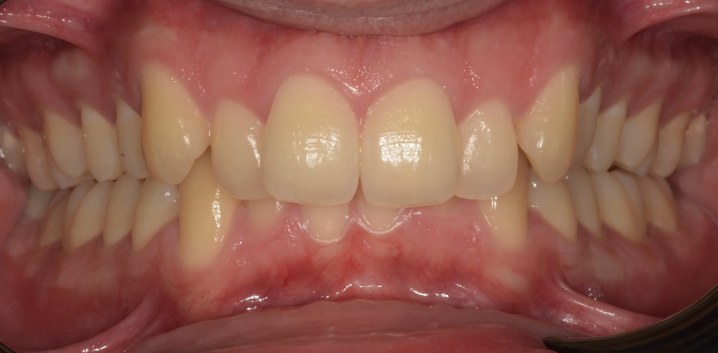
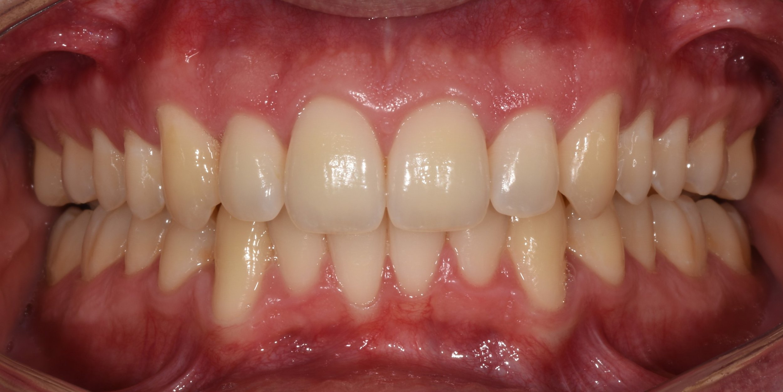
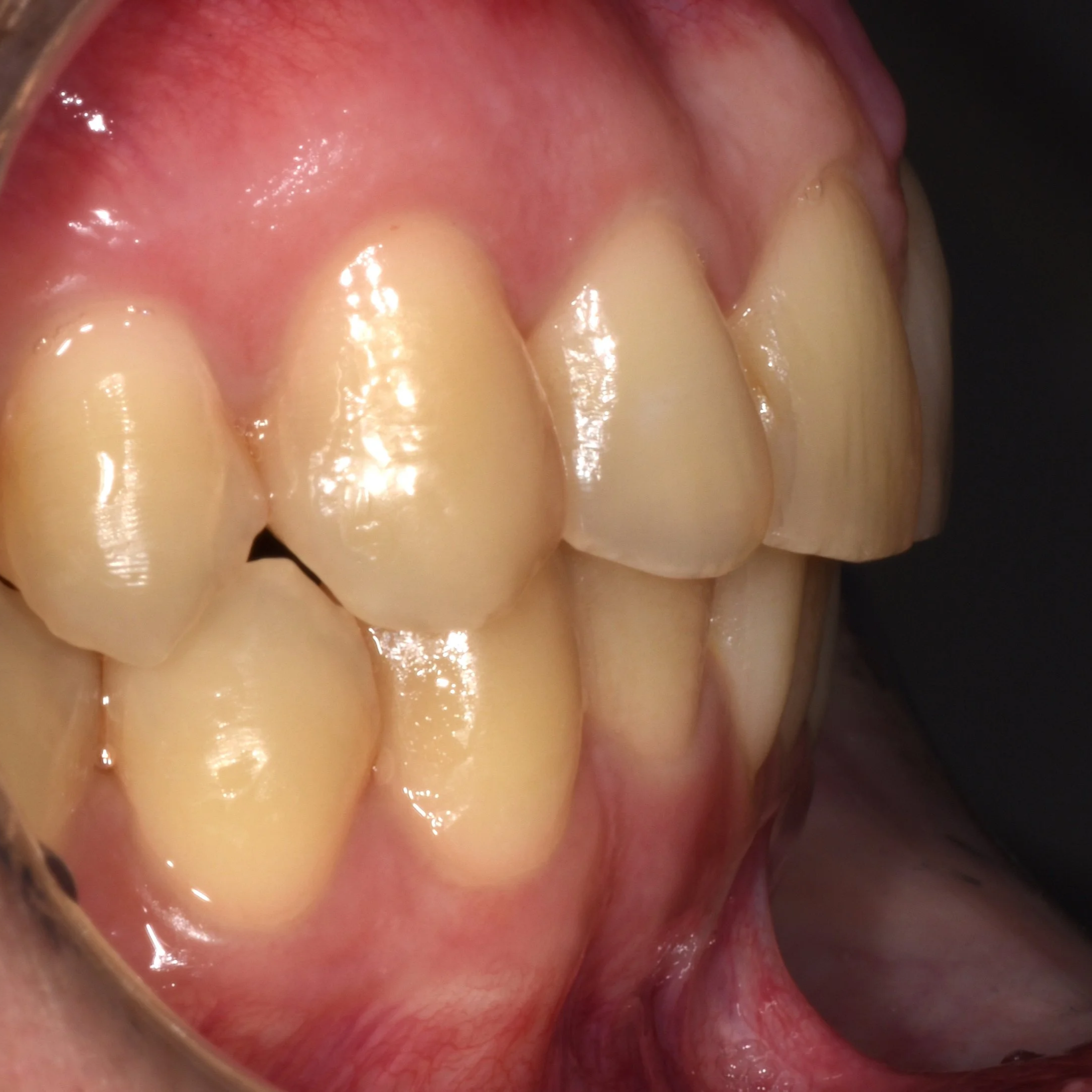
Caso Clinico 1
-
Prima
Vediamo lo straordinario cambiamento nell’occlusione e nell’estetica del paziente, ottenuto rigorosamente senza apparecchio fisso!
-
Dopo
In questo caso, un piccolo apparecchio invisibile e degli allineatori trasparenti hanno permesso di migliorare la fiducia di questo nostro caro paziente nel suo sorriso in meno di due anni.
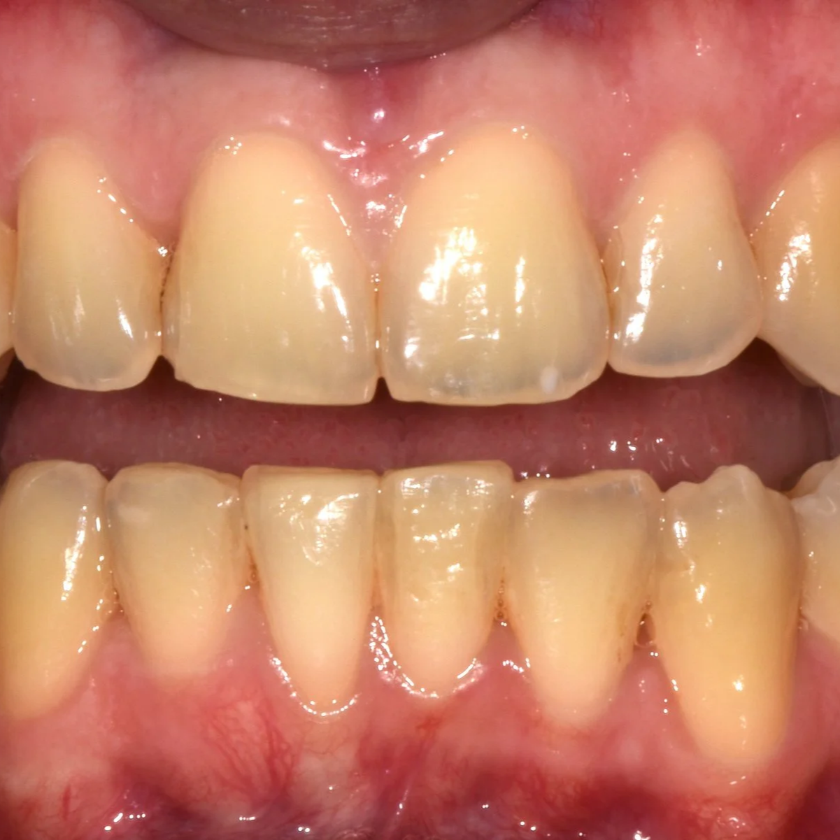
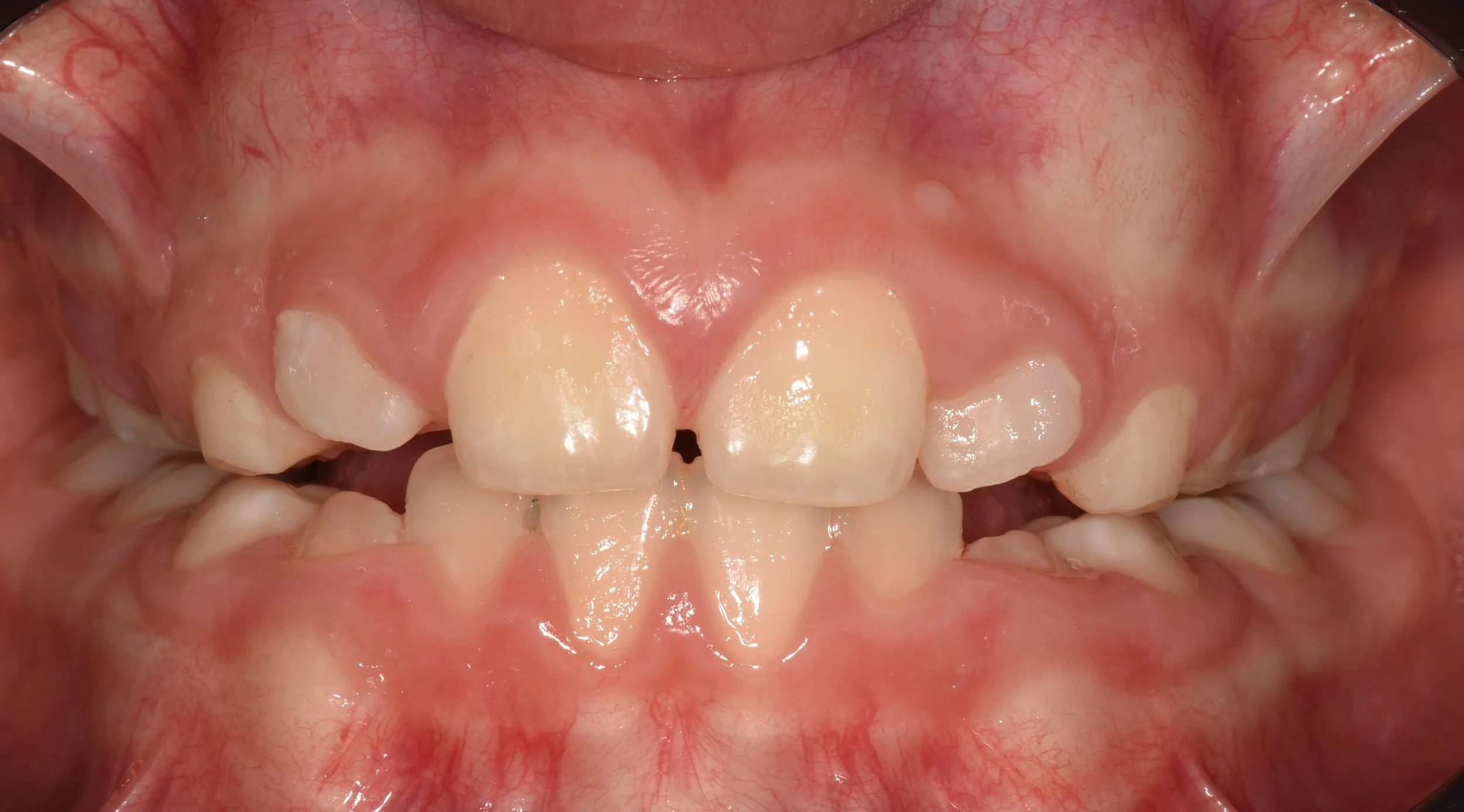
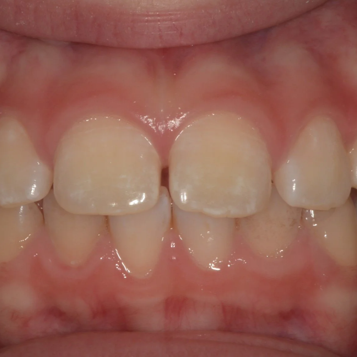
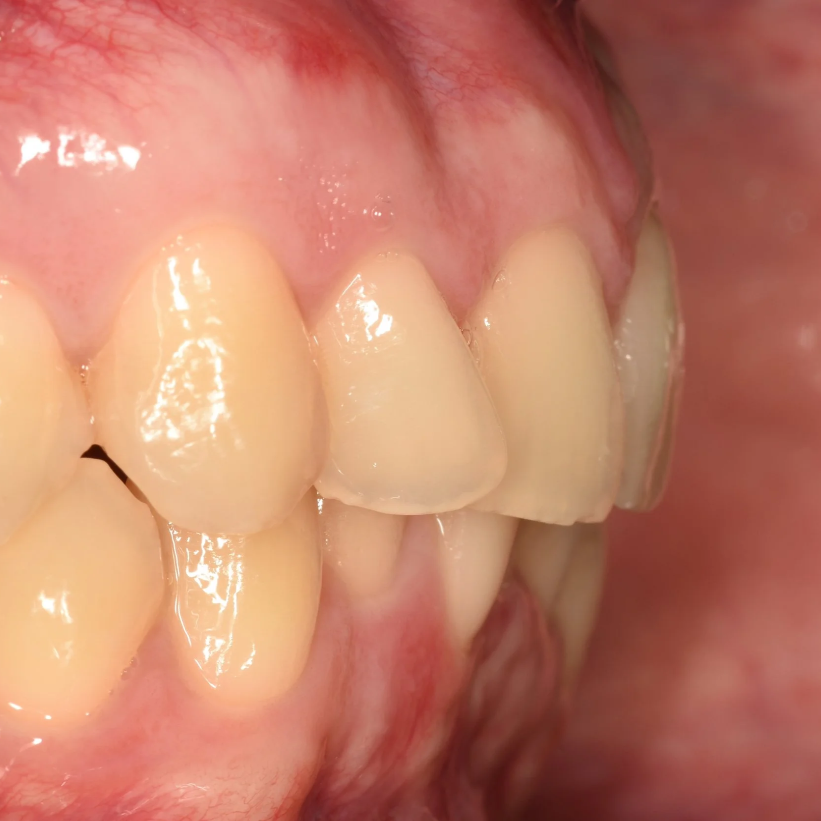
Caso Clinico 2
-

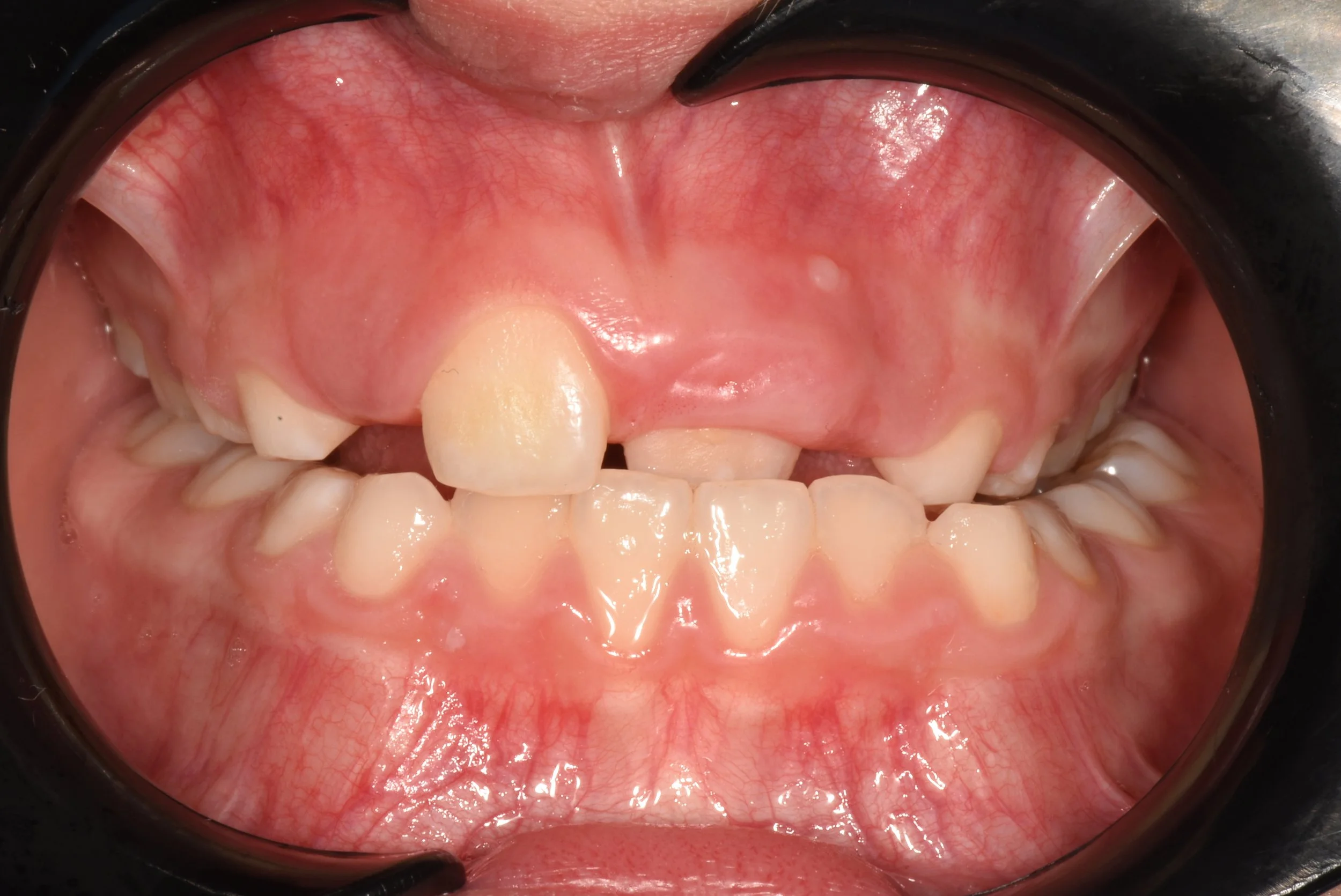
Prima
Denti mancanti, spazi eccessivi? In questo caso andiamo a correggere in adolescenza un problema che potrebbe pregiudicare l’autostima al sorriso nei giovani pazienti!
-

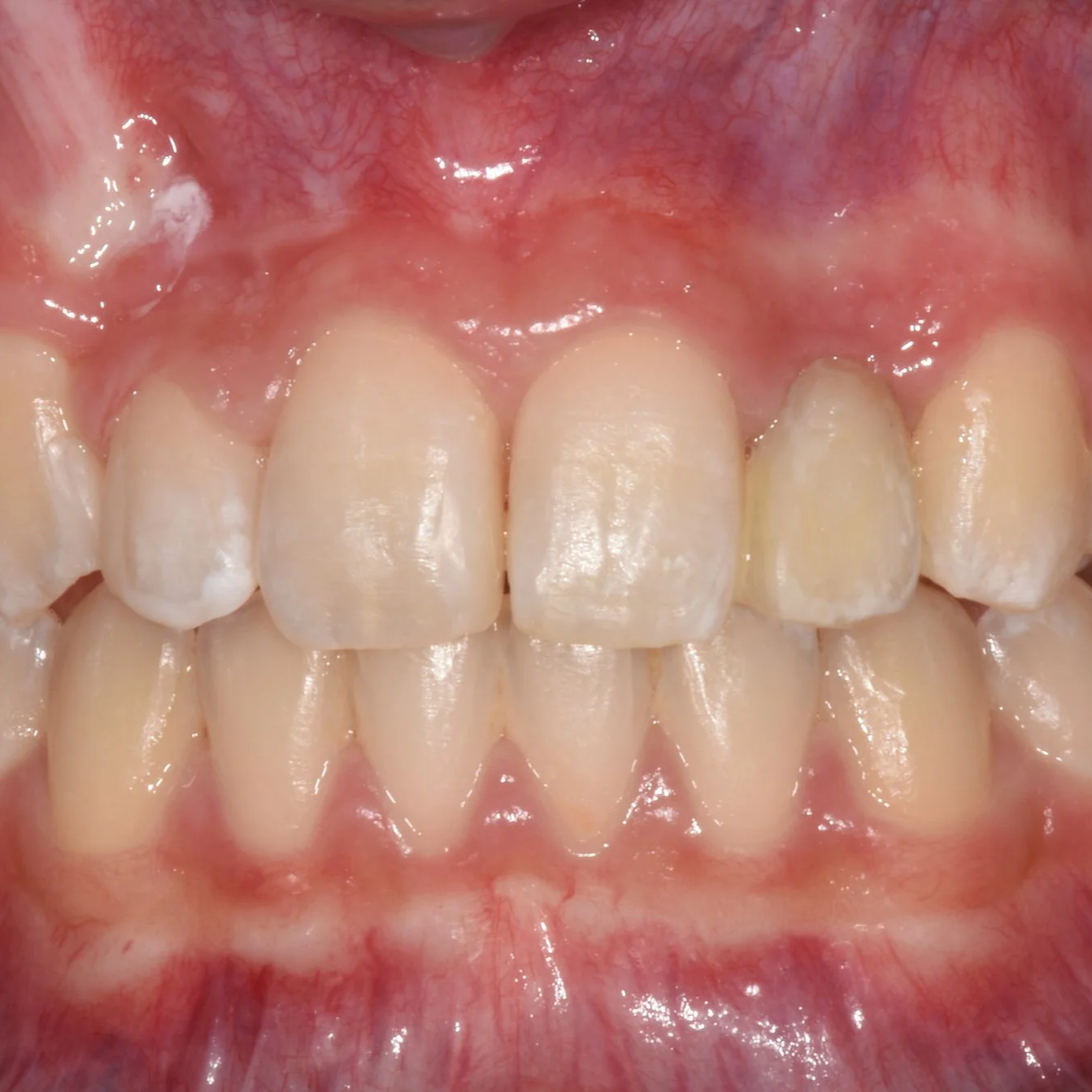
Dopo
Abbiamo utilizzato un semplicissimo apparecchio fisso per riportare in arcata un canino disperso nel palato, e finito il trattamento con un dentino nuovo – l’incisivo laterale superiore sinistro – per ridare armonia al sorriso! La richiesta della pazientina è stata soddisfatta in meno di due anni.
Caso Clinico 3
-

Prima
Dal sorriso timido a quello sicuro!
-
Dopo
Abbiamo realizzato in un battibaleno il desiderio di questo nostro paziente di esibire, per la prima volta, un sorriso impeccabile e il risultato ci fa impazzire.
Caso Clinico 4
-

Prima
La presenza di eccessivi spazi tra i denti limita la bellezza e salute del sorriso!
-

Dopo
Ed ecco che in questo caso siamo intervenuti con il classico apparecchio fisso per ripristinare un’occlusione perfetta, un dono alla bocca di questa paziente che si potrà godere questo straordinario risultato per tutta la vita. Ah, dimenticavamo… Poco più di 1 anno di trattamento
Caso Clinico 5
-
Prima
Si possono fare apparecchi ai più piccoli prima che arrivino i denti permanenti? Certo che sì!
-
Dopo
In questa piccola paziente, il palato stretto aveva causato una serie di alterazioni dell’occlusioni molto evidente. In meno di un anno, abbiamo corretto il palato stretto, spostato qualche dentino e rimodellato la gengiva e… Ecco qui la meraviglia della “ortodonzia intercettiva”!